画像診断症例クイズ
Diagnostic imaging case quiz
新企画、懸賞症例クイズを新設することになりました。
各地域で症例検討会を主宰しておられる先生方,あるいは,画像診断の匠のような先生方をguest moderatorとしてお迎えし,クイズ症例の提示と,応募解答の採点,解説・講評をお願いするという企画です。将来人工知能が画像診断をするようになるのかもしれませんが,論理的思考過程までは教えてくれません。
懸賞クイズ応募者の先生にはぜひ,人間ならではの論理的思考過程を明らかにされた診断を奮ってご応募ください。
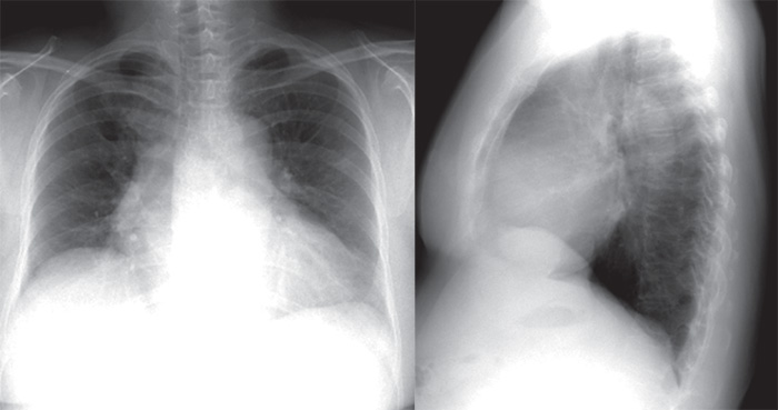
QUESTION NO.47
| QUESTION NO. | |||||||||
|---|---|---|---|---|---|---|---|---|---|
| No.1 | No.2 | No.3 | No.4 | No.5 | No.6 | No.7 | No.8 | No.9 | No.10 |
| No.11 | No.12 | No.13 | No.14 | No.15 | No.16 | No.17 | No.18 | No.19 | No.20 |
| No.21 | No.22 | No.23 | No.24 | No.25 | No.26 | No.27 | No.28 | No.29 | No.30 |
| No.31 | No.32 | No.33 | No.34 | No.35 | No.36 | No.37 | No.38 | No.39 | No.40 |
| No.41 | No.42 | No.43 | No.44 | No.45 | No.46 | No.47 | |||
応募について
| 応募方法: | JCRホームページ「症例クイズ解答フォーム」よりご入力、送信してください。 |
|---|---|
| 応募締切: | 出題者をうならせる論理的診断根拠をお示しください。その内容をもとに,最優秀・優秀・入賞の各賞を出題者に決定して頂きます。 |
| 応募締切: | 2025年10月25日 |
| 備 考: |
|
正解者全員のお名前を誌面,HP に掲載することにしました。成績優秀者は誌面およびJCR ホームページでご氏名ご所属を発表の上、JCR 理事長からの表彰状と次の景品を贈呈します。
最優秀(金賞) 2万円Quo カード 1名様 優 秀(銀賞) 1万円Quo カード 2名様 入 賞(銅賞) 1000円Quo カード 3名様 (入賞者多数の場合抽選)
皆様のご応募をお待ちしております。解答掲載は次々号(267号)
